Mesane tümörleri, mesane içerisini kaplayan değişici hücreli epitelden kaynaklanan tümörlere verilen genel isimdir.
devamı için tıklayınız.Mesane tümörlerinin risk faktörlerine baktığımızda aslında diğer kanser türevlerinden...
devamı için tıklayınız.Mesane tümörleri sıklıkla herhangi bir bulgu vermeden uzunca bir süre sessiz şekilde kalırlar.
devamı için tıklayınız.Mesane tümörü evrelemesinde TNM (tümör, lenf nodu, metastaz) sınıflaması kullanılmaktadır.
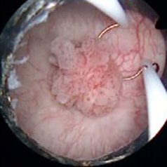
devamı için tıklayınız.Trans-Üretral Rezeksiyon-Mesane (TUR-M): Mesane tümörü patolojik tanı ve tedavisinde ilk ve en sık uygulanan yöntemdir.
devamı için tıklayınız.