Hafta İçi 09:00 - 12:00
hakan.vuruskan@nevsaglikgrubu.com
İletişim Hattı
444 33 32
Çalışma Saatleri
Hafta İçi 09:00 - 12:00
Ana Sayfa
Hakkımda
Ürolojik Hastalıklar
Üroonkoloji
Laparoskopik Radikal Nefrektomi
Laparoskopik Radikal Sistektomi
Laparoskopik Cerrahi
Laparoskopik Dismembred Pyeloplasti
Laparoskopik Orşiopeksi
Laparoskopik Parsiyel Nefrektomi
Laparoskopik Pyelolitotomi
Laparoskopik Sakrokolpopeksi
Laparoskopik Simple Prostatektomi
Laparoskopik Sürrenalektomi
Laparoskopik Urakus Kisti Eksizyonu
Laparoskopik Üreterolitotomi
Endoüroloji
Benign Prostat Hiperplazisi (BPH)
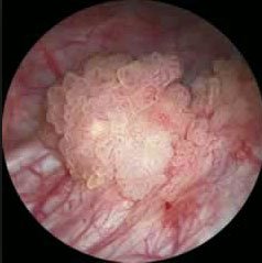
Mesane Tümörü
Sistoskopi ve Mesane Biyopsisi
Tanısal Sistoskopi ve Mesane Biyopsisi
Üreterosel İnsizyonu
Endoskopik Taş Cerrahisi
Endoskopik Üreter Taşı Tedavisi
Fleksibl Üreterorenoskopi (RIRC)
Mesane Taşı Görüntüsü
Perkütan Nefrolitotomi
Diğer Operasyonlar
Atnalı Böbrek Anomalisi
İnmemiş Testis
Testis Tümörleri
Üriner Enfeksiyonlar
Haberler
Galeri
İletişim
Randevu almak için tıklayın
Endoüroloji
Benign Prostat Hiperplazisi (BPH)
Mesane tümörü
Sistoskopi ve Mesane Biyopsisi
Tanısal sistoskopi ve mesane biyopsisi
Üreterosel İnsizyonu