Mesane tümörleri sıklıkla herhangi bir bulgu vermeden uzunca bir süre sessiz şekilde kalırlar. Başka sebeplerle yapılan ultrasonografik görüntülemede mesane içerisinde sıklıkla polipoid büyüme gösteren lezyonlar olarak tariflenirler. Ancak hastaların en sık başvuru sebebi aralıklı olarak gözlenen, ağrısız, pıhtılı idrar yapmadır. idrar tetkikinde kanama saptanması da başvuru sebebi olabilir. Mesane tümörü saptanan hastaların %85 inde başvuru esnasında idrarda mikroskobik yada gözle görülür kanama mevcuttur. Bu şikayet hastalarda da bir kaygıya neden olarak kısa süre içerinde hekim kontrolüne gitmelerini sağlamaktadır. Kanama dışında sık idrara çıkma, idrarda zorlanma, tekrarlayan idrar yolu enfeksiyonları gibi hastalığa özgü olmayan şikayetler de başvuru sebebi olabilir. Yine hastalığın ileri evre olduğunu düşündürecek pelvik ağrı, böbrek ağrısı, halsizlik,bulantı kusma,kansızlık,iştahsızlık,kilo kaybı gibi şikayetlerde başvuru sebebi olabilmektedir.
Mesane tümörü tanısı hastanın anamnezi, detaylı fizik muayene, radyolojik görüntüleme ve sistoskopi ile konulmaktadır. Radyolojik görüntüleme de ultrasonografi genellikle yeterli olmaktadır. Ancak bazen başlangıç aşamasında milimetrik boyutlu tümörler ultrasonografide atlanabilmektedir. Klinik şüphe halinde sistoskopi ( mesanenin kamera yardımıyla görüntülenmesi), ilaçlı bilgisaraylı tomografi, idrarda sitoloji bakılması, idrarda tümör markırları değerlendirilmesi (şu an için çok başarılı sonuçlara sahip değil) gerekebilmektedir. Yine ultrasonografik olarak tanı konulmuş olsa dahi tümörün mesane dışında doğru uzanımının ve olası uzak organ yayılımının (metastaz) değerlendirilmesi içinde bilgisayarlı tomografi(BT), magnetik rezonans görüntüleme(MR), pozitron emisyon tomografi (PET) gibi görüntüleme yöntemlerine ihtiyaç duyulabilir. Ancak mesane tümörü kesin tanısı sistoskopi ve eş zamanlı mesaneden biyopsi alınması ile konulur.
Şekil 1: Mesane tümörünün ultrasonografik görüntüsü
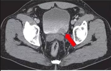
Şekil 2: Mesane tümörünün bilgisayarlı tomografi görüntüsü
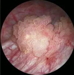
Şekil 3: Mesane tümörünün sistoskopik görüntüsü
